联系电话:
0839-5222359
0839-5220120

【新技术】苍溪县中医医院成功实施全县首例肺病损氩氦刀冷冻术

发表时间:2025-07-04 09:31
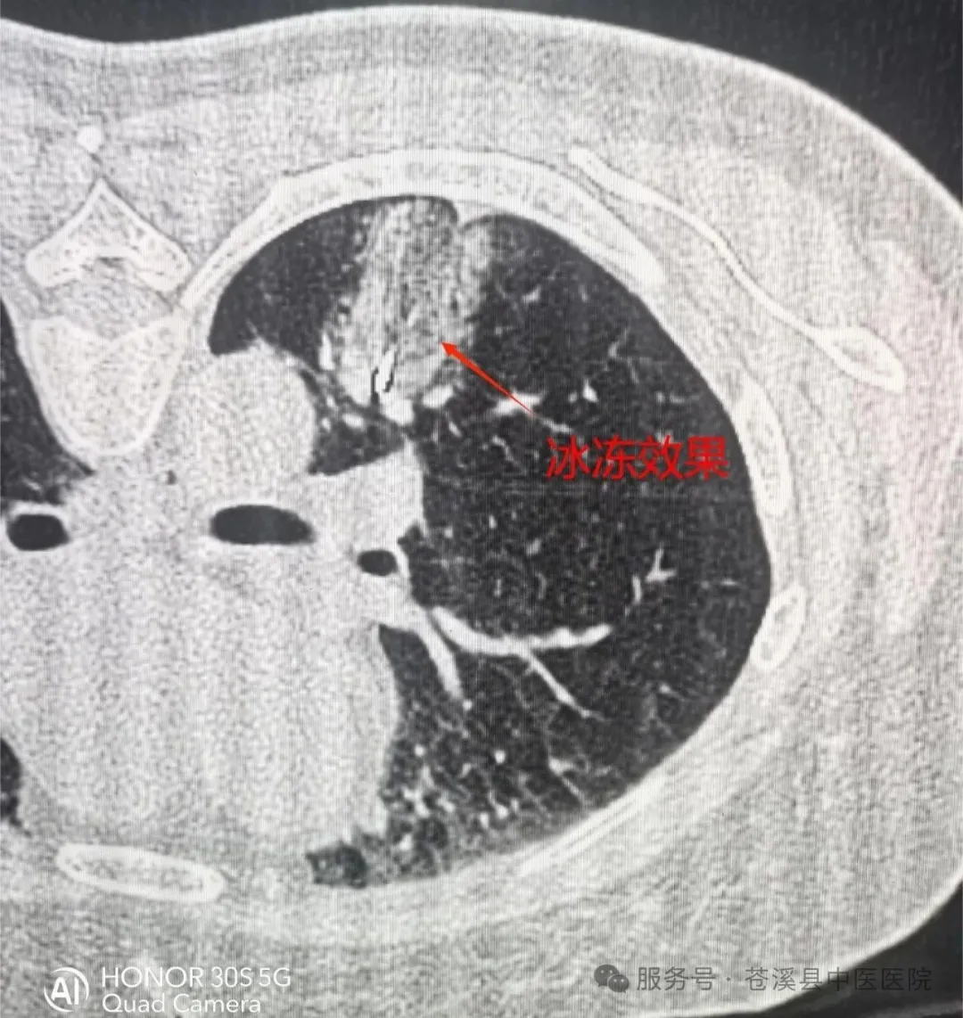
近日,苍溪县中医医院放射介入医学科成功完成全县首例肺病损氩氦刀冷冻术,患者术后恢复良好,第二天即可下床活动。
图片

技术原理


氩氦刀冷冻术是通过氩气作用,将病灶整体降温至约-160℃,随后氦气启动,迅速升温至45℃左右,完成数次“冰火两重天”的极致转换。治疗过程中,肿瘤细胞遭受剧烈冲击,迅速破裂、崩解。同时,肿瘤血管也因栓塞而坏死,无法再为肿瘤提供“滋养”,从而实现肿瘤的有效物理杀灭与控制。冻死的“肿瘤细胞”相当于肿瘤原位疫苗,刺激免疫系统发生免疫反应,达到抑制肿瘤生长的作用,起到“隔山打牛”的效果。

图片

技术特点


该技术是新一代的肿瘤超微创治疗手段,对肿瘤定位精准,通过超低温冷冻将肿瘤细胞冻死,出血少,损伤小,恢复快,属于物理治疗,对身体没有副作用,是“肿瘤绿色疗法”。作为一种创新的、创伤小的、可重复操作、激活抗肿瘤免疫的治疗手段,为高风险肺癌患者提供了新的治疗选择。
图片
氩氦刀冷冻术,对于早期肺肿瘤,可作为手术的替代治疗。对于晚期较大的肿瘤可作为姑息治疗,增强综合治疗的效果,可减少肿瘤负荷,激活患者自身的抗肿瘤免疫,减轻症状,提高患者的生活质量和生存率。

适应症


1、肺结节、癌前病变和原位癌,希望根治,保全肺组织和肺功能。
2、对于因高龄或多发基础疾病而无法耐受或不愿接受切肺手术治疗的患者。
3、肿瘤无法完全手术切除时,尤其适用于肿瘤位置复杂或紧邻关键脏器的情况。
4、化疗、放疗或靶向药物产生耐药性,或出现严重不良反应的患者。
5、当肿瘤体积巨大并累及重要脏器时,氩氦刀能减轻肿瘤负荷,抑制其生长,从而缓解患者症状,提升生活质量。
6、在经过多种治疗方法后,若局部病灶仍无法完全消失或缩小,氩氦刀可继续发挥控制肿瘤生长、延长患者生存时间的作用。
7、肺部寡转移瘤或肺多发转移瘤。
8、肺癌骨转移并发骨痛,氩氦刀能迅速止痛效果。此外,该技术亦适用于早期、中期和晚期肺癌各阶段治疗。

禁忌症


1、全身状况差,如多器官衰竭、严重贫血、低血小板及严重凝血功能异常;
2、无安全穿刺路径;
3、应用抗凝、抗血小板聚集、抗血管生成等药物,短期内无法停药。



咨询电话


沈医生:13981287622

叶医生:15892299879









分享到: